Your Family Orthodontist in Rochester, NY
Angel Aligners for Kids, Teens & Adults
Request your free in-office or virtual consultation
Create Your Perfect Smile With Angel Aligners
We’re proud to offer Angel Aligners as one of our advanced clear aligner treatment options. With innovative technology and a design focused on both precision and comfort, Angel Aligners allow us to treat the full range of orthodontic needs – from simple to complex cases – with excellent outcomes. In many cases, Angel Aligners provide added benefits such as fewer appointments, shorter treatment times, and a smoother overall experience for our patients. Because they combine effectiveness with convenience, Angel Aligners are a powerful option we use to help patients achieve their best smiles. And the best part is, we’re able to offer WO on the GO for Angel Aligners as well, which means Dr Cody can monitor your treatment from anywhere.
Are Angel Aligners right for me?
Angel Aligners are clinically proven to treat minor to complex malocclusions including:

Openbite
Lack of contact between upper and lower teeth when the jaw is closed.

Crowding
Insufficient space in the jaw, causing overlapping or rotated teeth.

Crossbite
Misalignment of the upper and lower jaw.

Spacing
Gaps or extra space between teeth.

Underbite
Lower front teeth or jaw sit ahead of the upper front teeth or jaw.

Overbite
Upper front teeth protrude outwards and overlap bottom teeth.
What is angelButton?™
The angelButton is an ancillary feature manufactured directly into Angel Aligners. angelButtons provide an additional anchorage point to support the use of elastics in Angel Aligner treatment. These buttons can be added and/or adjusted anywhere on the arch and are designed with high structural integrity to facilitate efficient tooth movement via elastics.
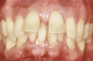
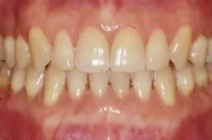
Angel Aligner Case Results with Complex Movements
Your doctor will create a digital treatment plan for your new smile. See results from angel aligner treatments!



